Polven magneettikuvaus

Milloin kannattaa tehdä polven magneettikuvaus?

Polven magneettitutkimuksen kohteena voivat olla kasvaimet, murtumat, tulehdukset ja repeämät. Kuvissa näkyvät myös verenvuodot ja turvotukset sekä vamman ikä on usein arvioitavissa.

Polvivammoissa usein vioittuvat nivelkierukat ja ristisiteet näkyvät magneettikuvissa erittäin tarkasti. Tästä syystä leikkaushoitoa edeltääkin lähes aina magneettitutkimus, jotta kirurgi saa tarkan tiedon vamman laadusta.

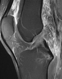
Polven magneettikuva sivulta

Sivusuuntainen (sagittaali) kuva polvesta.

Jatkuva polvikipu ja normaali röntgenkuva?

Onko sinulla jatkuvaa ja pahenevaa polvikipua, vaikka röntgenkuva on normaali? Taustalla voi olla luun verenkiertohäiriö (AVN), joka ei näy alkuvaiheessa rtg-kuvassa.

Asia näkyy erinomaisesti magneettikuvauksessa, ja tutkimus onkin syytä tehdä, mikäli selittämätön polvikipu jatkuu. Luun verenkiertohäiriö paranee useimmiten itsestään, mutta usein on syytä keventää kuormitusta esimerkiksi kyynärsauvoin.

Polven magneettikuva edestä

Etu-taka-suuntainen (koronaali) kuva.

Miten tutkimus etenee?

Polven magneettitutkimus suoritetaan maaten tutkimuspöydällä magneettilaitteen sisällä. Tutkittavan polven ympärille asetetaan kuvasignaaleja vastaanottava kuvauskela.

Polvea kuvataan useasta eri suunnasta noin 20 minuutin ajan. Moderni ja väljä laitteistomme tekee tutkimuksesta mahdollisimman mukavan, ja kuvauksen aikana voit kuunnella musiikkia.

Haluatko varata ajan tai kysyä lisää polven kuvauksesta?

OTA YHTEYTTÄ